top of page
Company
History
Manufacturing
Certificates
Our Presence
Products
Xenograft
Ti-oss Guide
Synthetic Graft
Clinical Data
Newsletter
Events
Exhibitions
Webinars
Contact
More
Use tab to navigate through the menu items.
Clinical Data
Periodontal Defects
The Safety
,
Efficacy
, and
Reliability
of
Ti-oss®
are backed
by over
10Years
of
Clinical Follow
-
up Data
.
Bone Graft Biology
Biopsy
Sinus Augmentation
Vertical Augmentation
Extraction like defects
Research & Articles
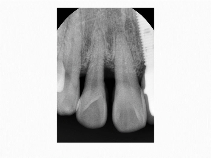
Block Bone Graft Procedure
1. Surgery: #21 Bone Graft
2. Maxillary Lateral incisor
3. Maxillary Central incisor
1. Surgery: #21 Bone Graft
1. Surgery: #21 Bone Graft
Anchor 2
2. Maxillary Lateral incisor
2. Maxillary Lateral incisor
3. Maxillary Central incisor
3. Maxillary Central incisor
Anchor 1
bottom of page